Early childhood caries
Early childhood caries, also known as nursing bottle caries, is a very common bacterial infection characterised by cavities that most often show up on a child’s upper front teeth but can also affect other teeth. It first shows up as white spots near the gum line. These spots are hard to see at first, but if caught early can be stopped from progressing into cavities. As it gets worse, they can look like brown spots, holes or broken teeth which will require more involved procedures to fix. It is very important to get treatment early to stop the decay from getting worse.
Causes
One of the most significant causes is when a child goes to bed with a bottle filled with milk or juice – anything except water. Bacteria in the mouth use these sugars as food, producing acids that attack the teeth. After many attacks, the teeth can decay. Nursing bottle caries usually affect children below the age of 6 years. If your infant falls asleep while breastfeeding, he is also at risk.
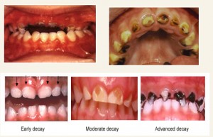
Symptoms:
- dull white area is seen along the gum line on the labial surface of the upper front teeth
- When you observe cavities involving the neck of the teeth in a ring like fashion.
- When the entire teeth is decayed with only black/brown root stumps

Treatment:
Preventive Treatment
Fluoride exposure in the form of child specific fluoridated toothpaste and mouthwash and fluoride application are effective means of preventing caries.
- Fluoride application: Professional Fluoride Application is indicated when the white lesion on the tooth surface is observed. It prevents the teeth from undergoing further demineralisation thereby arresting the progression of caries. Most commonly, solutions of 5% sodium fluoride varnish (NaFV; 2.26% F, 22,600 ppm F) and acidulated phosphate fluoride is applied. It is done in young children below the age of 6years.
- Pit and Fissure sealant: These sealants are plastic resin which are applied over the depression and groves of the occlusal table, which prevents the cavitation of the tooth. It is usually done in young primary and permanent teeth whether blackish discoloration is observed or not as a preventive therapy
- Diet modification: Since food habits play an important role in occurrence of ECC please go through the following food chart and monitor what your child eats.
Therapeutic Treatment
- Restoration: Restorations/Fillings are done when the cavity is confined within the four walls of the tooth.
- Crowns: crowns are done when the cavity breaks any wall of the tooth.
- Root canal Treatment: When the tooth is heavily decayed with the cavity touching the nerve, pulpectomy (root canal treatment) is advised following which a crown is placed to restore the functionality and the aesthetics of the teeth.
- Extraction: When the teeth are damaged beyond the stage of repair, with only root stumps remaining, extraction is indicated in such cases. If the child is very young the ideal eruption of the permanent teeth is facilitated by the use of space maintainers.
Treatment charges
Fluoride application costs Rs 2,000 per arch
Pit and Fissure sealant cost Rs 500 per tooth
Filling costs ranges between Rs 500 to Rs 1000/- per tooth
Root canal Treatment costs Rs 2,500 per tooth
Crown costs Rs 2,500 per tooth
Extraction costs Rs 900 per tooth.
Pit and Fissure sealant cost Rs 500 per tooth
Filling costs ranges between Rs 500 to Rs 1000/- per tooth
Root canal Treatment costs Rs 2,500 per tooth
Crown costs Rs 2,500 per tooth
Extraction costs Rs 900 per tooth.
FAQ's
Early Childhood Caries is one of the most common preventable dental diseases seen amongst young children in their milk teeth. It commonly presents as multiple decay seen in the upper teeth making it brittle. Lower front teeth are usually protected by the tongue covering it, hence much damage is not seen in them.
The presence of multiple decay is due to the prolonged contact between sugars in food and the bacteria present on the decayed surface of the teeth. It is caused because of the following reasons
Frequent bottle feeding at night until they fall asleep
Extended and Repetitive use of a no-spill training cup.
Any kind of sticky food/lollipops/candies, etc.
Not wiping baby’s gums or not brushing their teeth before going to bed.
Frequent bottle feeding at night until they fall asleep
Extended and Repetitive use of a no-spill training cup.
Any kind of sticky food/lollipops/candies, etc.
Not wiping baby’s gums or not brushing their teeth before going to bed.
At Dental Trust we provide Professional Care in the form of Preventive Measures which is absolutely pain free procedures:
- Topical Application of Fluoride.
- Pits and Fissure sealant for the back teeth so that they remain healthy.
- Glass Ionomer
- Cement Fillings
- Composite Fillings
- Crowns
- Root Canal Treatment
- Extraction
Make sure to clean babies teeth and gums after every meal, especially before going to sleep.
Make use of fluoride containing toothpaste to brush your child’s teeth
Control or restrict food with high sugar content
Avoid Sticky food with high sugar content eg. Sticky chocolates
Let the kid chew on apple, guava, and high fibre food like carrots which will make the teeth stronger.
Make use of fluoride containing toothpaste to brush your child’s teeth
Control or restrict food with high sugar content
Avoid Sticky food with high sugar content eg. Sticky chocolates
Let the kid chew on apple, guava, and high fibre food like carrots which will make the teeth stronger.
They are absolutely pain free procedures once the numbness has taken its effect. A local anaesthesia has to be administered for the numbness to take its effect. In the case of extensive damage involving most of the teeth our specialists might recommend the procedure to be done under conscious sedation or general anaesthesia
Conscious sedation and general anaesthesia are behavioural control techniques increasingly used in paediatric dentistry. Inhalation sedation utilizing nitrous oxide- oxygen has been a primary technique in the management of anxiety and dental fears. It is usually the technique of choice for paediatric dental conscious sedation, children with special needs and for adults. The Technique has an extremely high success rate coupled with a very low rate of adverse effects and complications. Dental procedures under general anaesthesia are a therapeutic option for many patients since it can provide a high quality dental care, when conventional dental treatment is not a viable option. If you are specifically looking for treatment under conscious sedation or general anaesthesia you can always first consult your paediatrician to confirm if the child is fit for the same before meeting our paediatric dentist to have a fruitful consultation with us.

09594785337
ksheeban95@gmail.com
Timing : 9 AM to 9 PM
Main Branch
